Ga direct naar de hoofdinhoud
Max Tandartsen - Tandartspraktijk in Zoetermeer!
Info
Behandelingen
Tandpijn/Kiespijn
Prothese/kunstgebit
Wortelkanaalbehandeling
Vullingen
Tanden bleken
Mondhygiëniste
Facings
Over ons
Tarieven & betalen
Praktijk
Het team
Vacatures
Stage
Organisatie
Blog
Media
Kindertandarts
Angsttandarts
Inschrijven
Facings
Contact
Zoeken
Tandarts Zoetermeer
Direct inschrijven
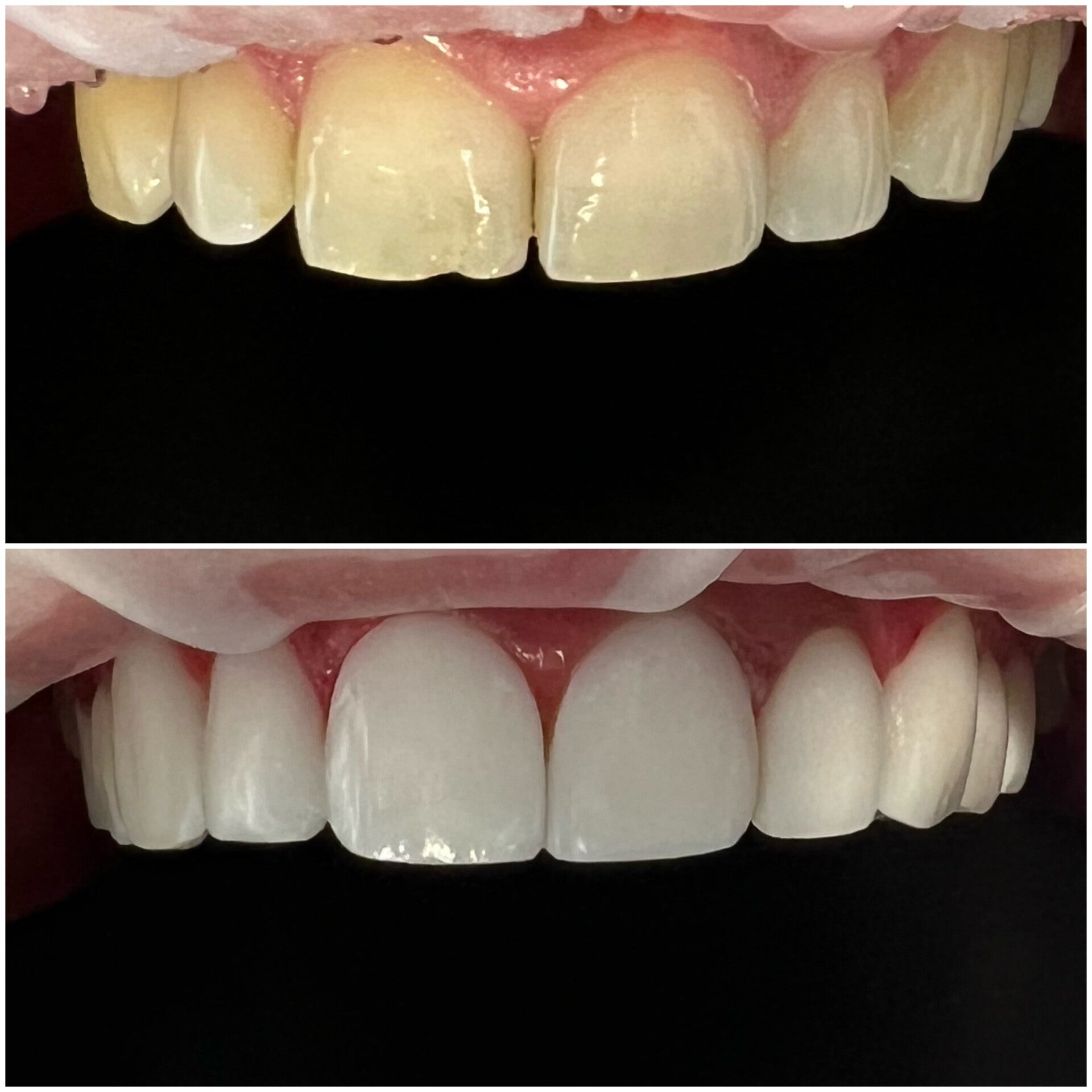
Facings
Kijk ook op onze social media voor meer foto's en video's.
Facebook
Instagram
TikTok
Composiet facings uitgevoerd door tandarts Philip Hawi